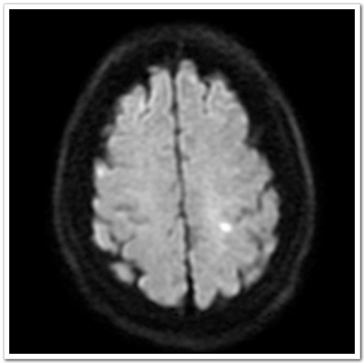
60岁的张阿姨这天正在家中看电视,突然感觉自己右侧上肢使不上劲,主要为右手拿不稳东西,日常生活动作突然不能像平时那样完成。真是人在家中坐,病从天上落,症状持续无明显缓解,也无进一步加重,遂至深圳大学总医院神经内科就诊。入院后头颅CT排除脑出血;颅脑磁共振平扫MRI+MRA:1.左侧顶叶皮层急性腔隙性梗死灶。2.双侧额、顶叶皮层下少许缺血灶。3.头颅MRA未见血管异常。

图1:MRI:左侧顶叶皮层急性腔隙性梗死灶

图2: MRA:未见异常
颈部血管超声:提示右侧颈动脉内中膜增厚。
动态心电图未见异常。
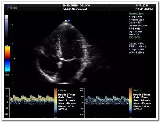
经胸心脏彩超未见明显异常。
张阿姨血管评估并未发现头颈部血管狭窄的证据,考虑原因不明性卒中,进一步行TCD发泡试验:提示发泡试验阳性-支持右向左分流(固有型,大量)。建议完善经食道心脏超声。

图3:TCD发泡实验(平博网页版,平博(中国)平博(中国))
经食道心脏超声:提示卵圆孔未闭(PFO),裂缝宽约3mm。
至此,张阿姨脑梗死的病因罪魁祸首考虑来自于心脏卵圆孔未闭。TCD发泡试验可以帮助寻找这类病因。
TCD发泡试验学名为“对比增强经颅多普勒超声(c-TCD)”,主要用来检测右向左分流(Right-to-left shunt,RLS)。右向左分流是指左、右心之间或体循环与肺循环之间存在潜在异常通道,在某些动作如大笑或用力大便时,右心压力超过左心,右心血液通过异常通道向左分流。出现右向左分流最常见的情况是心脏卵圆孔未闭(PFO),其次肺动静脉畸形(PAVM)或肺动静脉瘘(PAVF)。右向左分流导致反常栓塞,静脉系统的栓子经过异常通道直接到颅内造成大脑动脉栓塞,俗称血管堵了。

发泡试验最早由国外的学者首次介绍,逐渐被引入国内,现已成为神经内科筛查不明原因缺血性卒中的检查手段之一。
发泡试验检查方法
人员要求:专业的TCD医生一名,经过培训的护士一名。
操作步骤:

图5:检查分三次推注激活的生理盐水(声学造影对比剂)

图6:如图中连接静脉通路,护士在两支注射器之间来回震荡混合生理盐水10余次后快速静脉推注入肘静脉。
发泡试验结果分析
分类:
① 固有型RLS:静息状态下存在
② 潜在型RLS:Valsalval动作激发出
分级:
③ 无分流:0MB。
④ 小量分流:1—10个MB。
⑤ 中量分流:11—25个MB。
⑥ 大量分流:>25个MB,但未形成雨帘。
如果分流量大,栓子信号连接成片,无法计数,可在报告中写明“大量分流呈雨帘状”。
PS:从推注对比剂开始,计时20-25秒内出现的微栓子信号为发泡试验阳性结果。第一个微栓子的出现时间并不能完全鉴别心房水平分流或肺水平的分流。
发泡试验知多少?
Q1:哪些患者适合做TCD发泡检查?
隐源性卒中、青年卒中、TIA、无症状脑梗死且没有明显颅脑和颈部血管疾病,排除能致颅内栓塞的心律失常(推荐年龄为55岁以下成人)。偏头痛(尤其是有先兆的偏头痛)患者。
不明原因晕厥的年轻患者。
减压病、潜水员或航天员上岗前检查。
Q2: 哪些情况不适合做发泡检查?
无法建立静脉通路者。
感觉性失语者。
认知障碍者不能听懂配合valsalva动作。
孕妇。
Q3: 什么是卵圆孔未闭(PFO)?
卵圆孔是胚胎时期心脏房间隔的一个生理性通道,出生后大多数人原发隔和继发隔粘连、融合,逐渐形成永久房间隔。若未融合就形成卵圆孔未闭(见图4)。早在1877年,德国病理学家就发现PFO和缺血性脑卒中相关。
Q4: 查出右向左分流(PFO)就确认PFO为脑梗死病因了吗?
根据患者具体情况而定。比如患者有颅内颅外大动脉狭窄情况,首先考虑常见的血管狭窄或闭塞所致的脑梗死。即使这时候发泡检查发现右向左分流(PFO),也考虑可能为合并存在因素(旁观者),而不是致病因素(罪犯)。
Q5:为什么偏头痛患者也适合做发泡试验检查?
据文献报道,有部分偏头痛患者特别是有先兆的偏头痛患者发现存在右向左分流(卵圆孔未闭),行卵圆孔封堵术后头痛明显缓解。封堵术后还可以TCD发泡试验评估残余分流情况。
Q6:发泡试验检查痛苦吗?有副作用吗?
与经食道心脏超声检查(目前认为是检查PFO的金标准)比较,TCD发泡试验是一项安全、方便、廉价、无痛苦的检查。只要患者能够配合做瓦萨瓦动作(Valsalva maneuver)都可以做发泡检查。但年龄太大的老年患者没必要做;年龄小的儿童因为卵圆孔尚未完全闭合,也不推荐做。有文献报道极少数偏头痛患者做发泡检查后诱发偏头痛出现,头痛情况和既往头痛经历一样。
国外文献报道隐源性卒中寻找病因的一线检查方法为TCD发泡试验,其流程为:

一些学者认为,PFO越大,右向左分流微栓子数目越多,患脑卒中的风险越高。研究报道国人隐源性脑卒中与RLS大量分流有显著相关性。
当发泡试验检查发现有右向左分流,特别是大量右向左分流时,需进一步完善经食道心脏超声或右心声学造影寻找分流的来源(心脏水平分流还是心外水平分流)、评估PFO大小、有无房间隔瘤等解剖高危因素。参照《中国卵圆孔未闭专家共识》为患者制定个体化的诊疗方案。

参考文献
1. 郭雨竹,邢英琦,对比增强多普勒超声诊断右向左分流相关问题探讨[J],中国卒中杂志,2016, 11(7): 515-529.
2.W.-H. Xu, Y.-Q. Xing et al,Cardiac right-to-leftshunt subtypes in Chinese patients with cryptogenic strokes: a multicentercase_control study[J], EuropeanJournal of Neurology 2014, 21: 525–528.
3. 刘丽赟,李顺辉,颜友良等,介入封堵术治疗伴有卵圆孔未闭偏头痛患者效果的观察[J],中国当代医药,2014, (21): 16,47-49.
4.AntonelloD’Andrea, Marianna Conte et al,Transcranial Dopplerultrasonography: From methodology to major clinical applications[J],World J Cardiol 2016 July 26; 8(7): 383-400.
5.中国神经超声的操作规范(二)[J],中华医学杂志,2017.97(41):3208-3212.
6. LaviniaDinia,MD; Luca Roccatagliata,MD et al,Diffusion MRI During Migraine With AuraAttack Associated With Diagnostic Microbubbles Injection in Subjects With LargePFO[J], Headache,2007,11(12):1455-1466.
7.卵圆孔未闭预防性封堵术中国专家共识[J],中国循环杂志,2017, 32(3): 209-214.
多功能血管超声仪
海豚王

发泡试验“专家”

海豚王-发泡试验(TCD、心脏超声同屏同步)
【文章来源】深圳大学总医院神经内科主任陈小武,杨焱老师



