各位“超人”大家好!上期『海豚医声』咱们探讨了头颈血管超声联合筛查的临床价值,本期我们一起来聊聊头颈血管超声检查的规范问题。
1规范化检查Vs.未规范检查
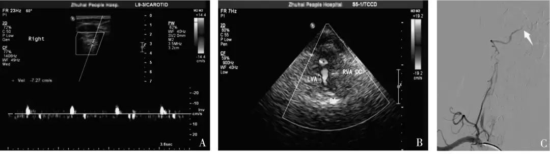
2019年9月,暨南大学附属珠海医院报道了一项研究[1],经由CTA或DSA结果证实为单侧椎动脉颅内段闭塞患者40 例,由未规范培训组医师和规范培训组医师分别进行血管超声检查,将两组超声诊断结果与金标准结果进行比较,并对两组不同资历医师进行诊断一致性分析。
结果:规范培训组诊断椎动脉颅内段闭塞的敏感度及符合率(均为95%)明显高于未规范培训组(均为75%),不同资历的超声医师对于椎动脉颅内段闭塞的一致性检验结果Kappa 值为0.273,诊断一致性较差。
中国脑卒中血管超声检查指导规范[2]指出:若椎动脉闭塞于小脑后下动脉分支之前,椎动脉颅外段可探及低速单峰型(无舒张期血流信号);若椎动脉闭塞于小脑后下动脉之后,椎动脉颅外段可探及低速高阻型(舒张期流速低平)血流信号。

本研究中,未规范培训组椎动脉椎间隙段频谱形态呈“高阻型”10 例中,全部诊断为椎动脉发育不良,“单峰型”30 例全部诊断为颅内段闭塞。
当椎动脉椎间隙段内径≤2.5 mm,频谱形态呈低速高阻型改变时,既有可能是椎动脉发育不良,也有可能是椎动脉颅内段闭塞,此时应联合TCCS(或TCD) 检查,直观地从枕窗观察双侧椎动脉颅内段的血流充盈情况。
2
规范检查:准确性的有力保障
血管超声操作的规范性是保证检查结果一致性高、重复性好、准确性高的前提,是最重要的技术保障[3]。
一直以来,不同的超声医师,有着不同的操作手法,甚至同一张声像图,有着不同的理解和判读结果,局限性的检查切面、任意性的检查操作及主观性的结果判断等特点使得超声技术难以完全统一和规范[4]。
血管超声是集临床医学知识,手法操作技巧及声像图判读于一身的影像诊断技术,为一项特别倚重经验的技术,是一门经验科学,血管超声医师必须要强化头颈一体化、左右大脑半球结合,前后循环结合的理念及思维方式[5]。
血管超声诊断,争取做到定性、定位、定量,明确责任血管,明确病变程度。一个精准的诊断,为后面的治疗方案选择提供客观信息,为临床充分分流患者,同时提高患者治疗的成功率。
3
血管超声规范索引
近年来,众多权威专家根据多年来血管超声检查经验,撰写了一系列血管超声检查规范,整理如下,点击“阅读原文”可下载原文。
1. 华扬, 惠品晶, 邢瑛琦. 中国脑卒中血管超声检查指导规范[J]. 中华医学超声杂志(电子版), 2015(08):25-36.
2. 中国医师协会神经内科医师分会神经超声专业委员会, 中华医学会神经病学分会神经影像协作组. 中国神经超声的操作规范(一)[J]. 中华医学杂志, 2017(39).
3. 中国医师协会神经内科医师分会神经超声专业委员会, 中华医学会神经病学分会神经影像协作组. 中国神经超声的操作规范(二)[J]. 中华医学杂志, 2017(41).
4. 中国医师协会神经内科医师分会神经超声专业委员会, 中华医学会神经病学分会神经影像协作组. 中国神经超声的操作规范(三)[J]. 中华医学杂志, 2017(43).
参考文献:
[1]. 周盼妍, 张恒, 李彩丽,等. 不同资历超声医师诊断椎动脉颅内段闭塞的结果分析[J]. 中国医学创新, 2019, 16(25).
[2]. 华扬, 惠品晶, 邢瑛琦. 中国脑卒中血管超声检查指导规范[J]. 中华医学超声杂志(电子版), 2015(08):25-36.
[3]. 周瑛华, 华扬. 血管超声专业进修医师培训策略探讨[J]. 医学教育管理, 2016(5):690-692.
[4]. 温朝阳, 王金锐, 刘吉斌,等. 中国血管超声规范化及其继续教育探索[J]. 中华医学超声杂志(电子版), 2010, 007(012):2016-2024.
[5]. 高明杰, 华扬, 贾凌云. 血管超声医学研究生培养中面临的问题及对策[J]. 继续医学教育, 2015, 000(008):47-48.



